Skip to the content
Menu
(212) 838-0842
Book Appointment
CONTACT US
Meet the Team
General
iTero Element
Laser Dentistry
Oral Surgery
Sleep Apnea
Sleep Apnea Devices
TMJ Treatments
BOTOX
Snoring
Treatment for Bleeding Gums
Periodontal Health
Restorative
Dental Bridges
Dental Bonding
Dentures
Full Mouth Rehabilitation
Inlays and Onlays
Porcelain Crowns
Root Canals
Cosmetic
Invisalign
Porcelain Veneers
Smile Design
Teeth Whitening
ICON White Spot Removal
Vivera Retainers by Invisalign
Youthful Natural Facial Aesthetics
Specialty
Gum Contouring
Wellness in Dentistry
Resources
Blogs
Press
Reviews
Community Impact
An Educational Guide on Pediatric Airway & Sleep Health For Parents
Gallery
View Pricing
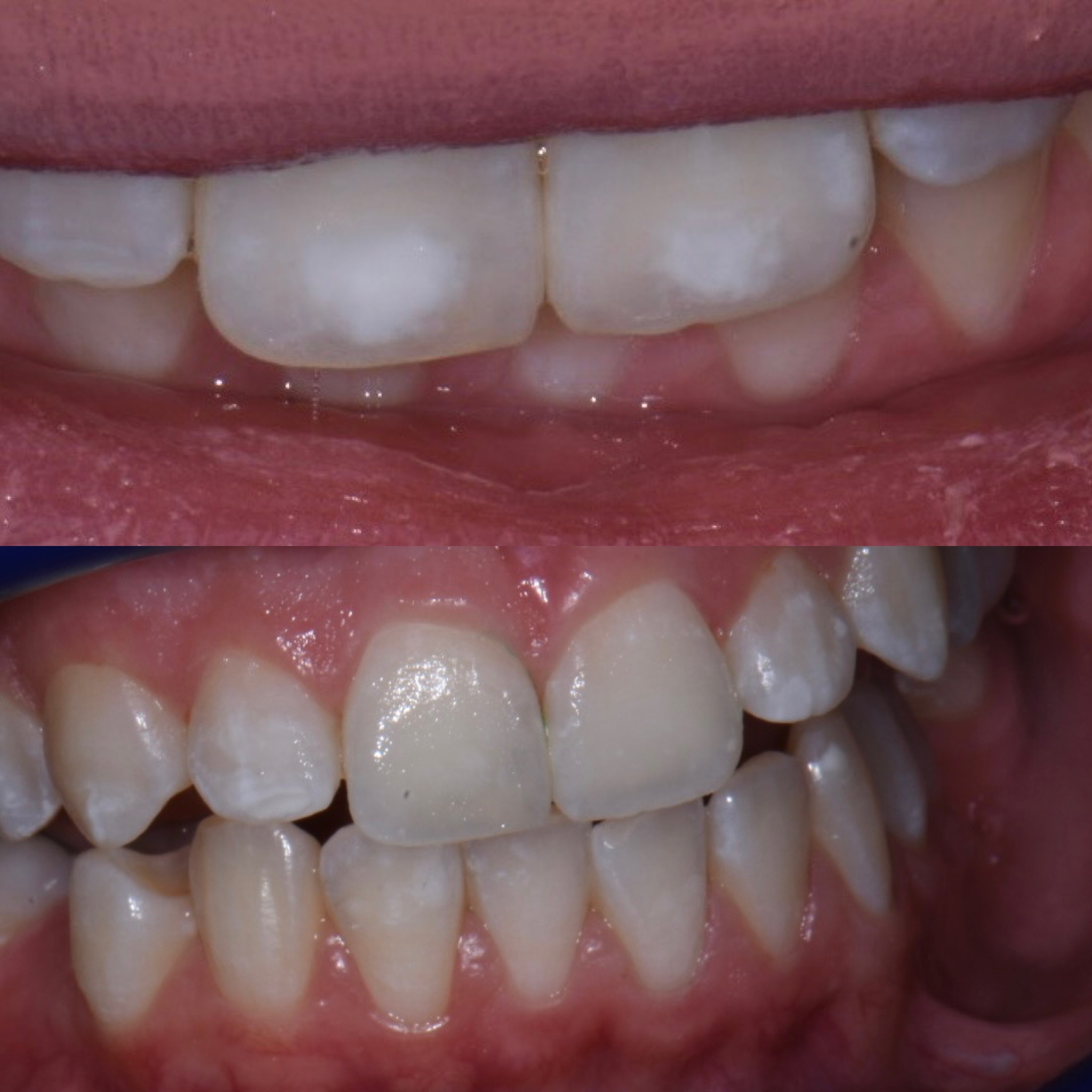
White Spot Removal
Icon White Spot Removal
View Case
›
Icon White Spot Removal
Prev
Next
ICON White Spot Removal
View Case
›
ICON White Spot Removal
Prev
Next
ICON White Spot Removal
View Case
›
ICON White Spot Removal
Prev
Next
Icon White Spot Removal
View Case
›
Icon White Spot Removal
Prev
Next
Icon White Spot Removal
View Case
›
Icon White Spot Removal
Prev
Next
Icon White Spot Removal
View Case
›
Icon White Spot Removal
Prev
Next
PREVIOUS
1
2
3
4
NEXT
RETURN TO CATEGORIES
Let’s Brighten Your Smile!
New York General Dentistry is always welcoming new patients to our Midtown East dentist office.
Feel free to send a text to
(929) 244-8140
or call
(212) 838-0842
Schedule Appointment
Stay Connected!
@newyorkgeneraldentistry
newyorkgeneraldentistry
Starting my Monday off with so much joy from the w
Such a pleasure to give this lovely patient a fres
Thank you @_____delayed for another magical weeken
ICON treatment is a non-invasive resin infiltratio
A lot of patients call to inquire about the EMS Ai
Grateful to spend 2023 full of adventures and new
FOLLOW US ON INSTAGRAM
Please ensure Javascript is enabled for purposes of
website accessibility